右上5番インプラント1本埋入
スタッフブログ
2015.09.10
こんにちは、受付のAです。
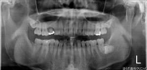
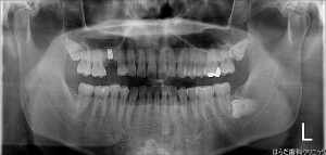
本日は杉村先生による右上5番のインプラントオペが行われました。
}C](http://harada-shika.jp/blog/wp-content/uploads/2015/09/5471-20150716000C-300x143.jpg)
オペを行う前と後にはレントゲン写真を撮り状態のチェック、確認を致しますので何か心配な事、気になる事にも迅速に対応致します。
本日は1本の埋入でしたので約1時間で終了しました。

SONY DSC
}C](http://harada-shika.jp/blog/wp-content/uploads/2015/09/5471-20150910000C-300x143.jpg)
インプラントに興味がある方は気軽にご相談下さい。
スタッフブログ
2015.09.10
こんにちは、受付のAです。
本日は杉村先生による右上5番のインプラントオペが行われました。
}C](http://harada-shika.jp/blog/wp-content/uploads/2015/09/5471-20150716000C-300x143.jpg)
オペを行う前と後にはレントゲン写真を撮り状態のチェック、確認を致しますので何か心配な事、気になる事にも迅速に対応致します。
本日は1本の埋入でしたので約1時間で終了しました。

SONY DSC
}C](http://harada-shika.jp/blog/wp-content/uploads/2015/09/5471-20150910000C-300x143.jpg)
インプラントに興味がある方は気軽にご相談下さい。
