全体的に歯並びを矯正(ワイヤー)を用いて改善し、審美性、機能性を改善する症例
37歳 女性
- 治療の詳細
- 上下顎の歯列不正に対し、上下左右第一小臼歯抜歯後に舌側矯正装置を用いた全顎矯正治療を実施しました。治療により適切な咬合関係が確立され、口唇閉鎖機能とオトガイ部の改善も認められました。
- この症例に使用した装置
- メタルブラケット
- 費用総額
- 1,596,100円(税込)
- 治療回数/通院回数
- 約3年7ヵ月/約45回
- 治療に伴うリスク・副作用
【矯正治療】
- 疼痛・違和感:歯が動くことに伴う痛みが生じます
- 歯肉退縮:歯の移動により歯茎が下がる可能性があります
- 歯根吸収:歯の根が短くなる可能性があります
- 虫歯・歯周病:矯正装置をつけることによる虫歯、歯周病のリスクが高まります
- 装置の破損・脱離:矯正装置が破損したり外れたりする可能性があります
- 治療期間の延長:予定より治療期間が長くなる場合があります
- 後戻り:保定装置を適切に使用しないと歯並びが元に戻る可能性があります
【歯の裏側矯正治療】
- 発音障害:治療初期にしゃべりにくくなることがあります
- 清掃困難:歯ブラシがしにくく、口腔清掃が困難になります
- 治療期間の延長:表側矯正と比べて治療期間が長くなる場合があります
- 舌の違和感:装置が舌に当たり違和感や痛みが生じることがあります
- 費用:表側矯正と比べて高額になります
- 適応症の制限:歯の状態により適応とならない場合があります
部分的に歯並びを矯正(ワイヤー)を用いて改善し、審美性、機能性を改善する症例
33歳 女性
- 治療の詳細
- 犬歯の唇側転位に対し、上下左右第一小臼歯抜歯後、前歯部から第二小臼歯までの部分矯正治療を実施しました。
メタルブラケットを使用し、適切な歯列配列と咬合関係の改善を図りました。
- この症例に使用した装置
- 部分矯正/メタルブラケット
- 費用総額
- 391,600円(税込)
- 治療回数/通院回数
- 約1年4ヵ月/約20回
- 治療に伴うリスク・副作用
【部分矯正治療】
- 疼痛・違和感:装置装着後や調整後に歯の移動に伴う痛みが生じます
- 歯肉退縮:歯の移動により歯茎が下がる可能性があります
- 歯根吸収:歯の根が短くなる可能性があります
- 虫歯・歯周病:装置により清掃が困難になり、虫歯や歯周病のリスクが高まります
- 治療の制限:歯を動かせる距離や方向に制限があり、改善範囲が限定されます
- 咬合の不調和:部分的な歯の移動により咬み合わせに問題が生じる可能性があります
- 後戻り:保定装置を適切に使用しないと歯並びが元に戻りやすくなります
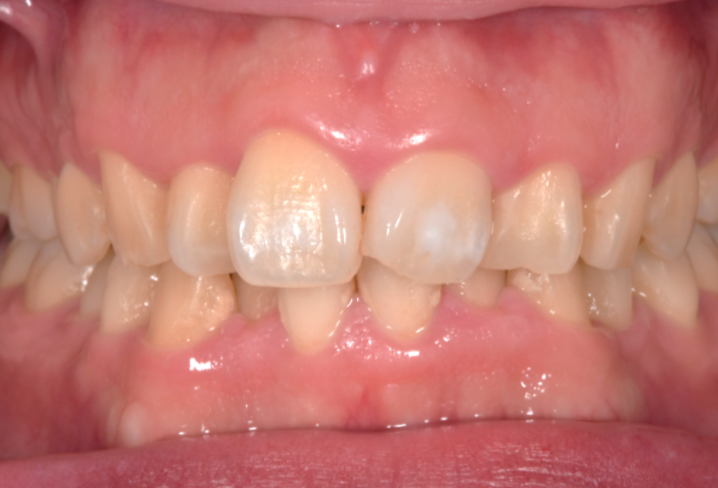
ICONを用いてホワイトスポットを治療する症例
30歳 男性
- 治療の詳細
- 白濁した前歯に対して、ICON治療による改善を行いました。この治療法は歯質強化薬剤を歯の表面に浸透させることで、歯を削ることなく白濁部分の改善を図る方法です。
1回の治療(約30分)で処置が完了し、自然な歯の透明感を回復することができました。
- この症例に使用した装置
- ICON
- 費用総額
- 88,000円(税込)
- 治療回数/通院回数
- 約3週間/約4回
- 治療に伴うリスク・副作用
【ICON】
- 知覚過敏:冷たいものがしみる可能性があります
- 効果の限界:完全な改善が得られない場合があります
- 色調の変化:周囲の歯と完全に同じ色にならない可能性があります
- アレルギー反応:薬剤に対するアレルギーの可能性があります
- 再発:口腔環境により再び白濁が生じる場合があります
全体的な歯並びを矯正(ワイヤー)を用いて改善し、審美性、機能性を改善する症例
26歳 女性
- 治療の詳細
- 上顎前突(出っ歯)に対し、ホワイトブラケットと白いワイヤーを使用した矯正治療を実施しました。前歯の突出改善により、口唇の閉鎖不全やオトガイ部の緊張も同時に改善されました。
治療期間は約2年、月1回の調整を行い、機能面・審美面ともに良好な結果を得ることができました。
- この症例に使用した装置
- ホワイトブラケット・ホワイトワイヤー
- 費用総額
- 965,800円(税込)
- 治療回数/通院回数
- 約2年/約24回
- 治療に伴うリスク・副作用
【矯正治療】
- 装置装着後や調整後に歯が動くことによる痛み・違和感
- 歯の移動により歯茎が下がる(歯肉退縮)可能性
- 歯の根が短くなる(歯根吸収)可能性
- 装置により清掃が困難になり、虫歯や歯周病のリスクが高まる
- 矯正装置の破損・脱離の可能性
- 治療期間が予定より長引くことがある
- 保定装置を適切に使用しないと歯並びが元に戻る(後戻り)可能性
精密根管治療を行い機能性を回復する症例
33歳 男性
- 治療の詳細
- 左下臼歯の根尖部に感染が認められたため、マイクロスコープを使用した精密根管治療を実施しました。肉眼の約20倍に拡大して治療を行うことで、従来の根管治療では対応困難な症例にも対処することが可能です。
治療期間は約1ヶ月、計4回の処置により根管内の清掃・消毒・充填を完了し、良好な治癒経過を得ることができました。
- この症例に使用した装置
- 精密根管治療
- 費用総額
- 143,000円(税込)
- 治療回数/通院回数
- 1ヶ月/約5回
- 治療に伴うリスク・副作用
【精密根管治療】
- 治療後に痛みや咬合時の痛みが生じる可能性
- 冷たいものや温かいものがしみる(冷温痛)ことがある
- 治療部位の腫れや出血が生じる場合がある
- 神経損傷によりまれに麻痺が生じる可能性
- 治療時に血管を損傷する可能性
- 根管治療では改善が見込めず、抜歯が必要となる場合がある
- 治療後に再感染などで再治療が必要になる可能性
ファイバーコアとオールセラミックで審美性を回復した症例
52歳 女性
- 治療の詳細
- 歯肉退縮により金属の露出が認められた上前歯に対し、e-maxセラミッククラウンによる補綴治療を実施しました。セラミック装着後、ステイニング技法による色調調整を行い、隣接歯との色調調和を図りました。
治療により金属の透過による変色を改善し、自然な歯の色調と透明感を回復することができました。
- この症例に使用した装置
- ファイバーコア・セラミック/e-max/ステイニング
- 費用総額
- 465,300円(税込)
- 治療回数/通院回数
- 約6ヶ月/約15回
- 治療に伴うリスク・副作用
【ファイバーコア】
- 破折:強い衝撃や過度な力により折れる可能性があります
- 脱離:接着力の低下により外れる場合があります
- 適合不良:歯の形態により適合が困難な場合があります
- 色調の透過:透明性により下地の色が透けて見える場合があります
- 除去の困難性:再治療時の除去が困難になる場合があります
【セラミック】
- 破折・欠け:強い力により割れたり欠けたりする可能性があります
- 脱離:接着力の低下により外れる場合があります
- 色調の変化:周囲の歯と完全に同じ色調にならない可能性があります
- 知覚過敏:歯を削ることで一時的にしみる場合があります
- 咬合調整:咬み合わせの調整が必要になる場合があります
- 費用:保険適用外のため高額になります
精密根管治療を用いて補綴(セラミック)を併用し咬合の再構成を行い機能性や審美性を回復する症例
46歳 男性
- 治療の詳細
- 変色した上前歯の根尖部感染に対し、マイクロスコープによる精密根管治療後、ジルコニアセラミッククラウンで補綴治療を実施しました。
感染の改善と審美性の回復を同時に達成し、自然な色調を回復することができました。
- この症例に使用した装置
- 精密根管治療・セラミック/オールジルコニア
- 費用総額
- 293,700円(税込)
- 治療回数/通院回数
- 約1年/約6回
- 治療に伴うリスク・副作用
【精密根管治療】
- 治療時間の延長:精密な処置のため1回の治療時間が長くなる場合があります
- 治療回数の増加:症状により予定より治療回数が多くなる可能性があります
- 治療後の疼痛:治療後に痛みが生じる可能性があります
- 治療の限界:症状によっては改善せず、抜歯が必要となる場合があります
- 再治療:治療後に再び症状が生じる可能性があります
【セラミック】
- 破折・欠け:強い力により割れたり欠けたりする可能性があります
- 脱離:接着力の低下により外れる場合があります
- 知覚過敏:歯を削ることで一時的にしみる場合があります
- 色調の違い:周囲の歯と完全に同じ色調にならない可能性があります
- 費用:保険適用外のため高額な治療費がかかります
マイクロスコープによる感染の除去・インプラント・セラミック治療で咬合の再構成・歯肉移植で歯周病の改善を図った症例
53歳 女性
- 治療の詳細
- 破折した差し歯の抜歯後、感染が認められた隣接歯2本にマイクロスコープ下での精密根管治療とジルコニアクラウン補綴を実施しました。
抜歯部位にはGBR(骨造成術)後にインプラント埋入を行い、同時に歯肉移植により審美性と歯周組織の安定性を回復しました。
- この症例に使用した装置
- 精密根管治療・インプラント・セラミック治療・歯肉移植
- 費用総額
- 1,195,700円(税込)
- 治療回数/通院回数
- 2年4ヵ月/約61回
- 治療に伴うリスク・副作用
【精密根管治療】
- 治療時間の延長:精密な処置のため1回の治療時間が長くなる場合があります
- 治療回数の増加:症状により予定より治療回数が多くなる可能性があります
- 治療後の疼痛:治療後に痛みが生じる可能性があります
- 治療の限界:症状によっては改善せず、抜歯が必要となる場合があります
【インプラント】
- 手術適応の制限:身体の状態により手術に適用できない場合があります
- 感染:手術部位の感染や歯周病菌による感染の可能性があります
- 神経損傷:手術時に神経を損傷し麻痺が生じる可能性があります
- 出血・腫脹:手術後に出血や腫れが生じることがあります
- インプラント周囲炎:メンテナンス不良により炎症が生じる可能性があります
- 脱落:骨結合が不十分な場合、インプラントが脱落する可能性があります
【セラミック】
- 破折・欠け:強い力により割れたり欠けたりする可能性があります
- 脱離:接着力の低下により外れる場合があります
- 知覚過敏:歯を削ることで一時的にしみる場合があります
- 費用:保険適用外のため高額な治療費がかかります
部分的に歯並びを矯正(ワイヤー)を用いて改善し、審美性、機能性を改善する症例
35歳 女性
- 治療の詳細
- 下顎前歯部の空隙歯列に対し、メタルブラケットを使用した部分矯正治療を実施しました。
- この症例に使用した装置
- 部分矯正/メタルブラケット
- 費用総額
- 369,600円(税込)
- 治療回数/通院回数
- 5ヵ月/約7回
- 治療に伴うリスク・副作用
【部分矯正】
- 後戻り:保定装置を適切に使用しないと歯並びが元に戻りやすくなります
- 知覚過敏:歯の移動により一時的に冷たいものがしみる可能性があります
- 疼痛・違和感:装置装着後や調整後に痛みや違和感が生じます
- 治療の限界:部分的な治療のため、全顎矯正と比べて改善範囲が限定されます
- 咬合の不調和:部分的な歯の移動により咬み合わせに問題が生じる可能性があります
- 装置の破損・脱離:矯正装置が破損したり外れたりする可能性があります
- 虫歯・歯周病:装置により清掃が困難になり、虫歯や歯周病のリスクが高まります
補綴治療(ラミネートべニア)を行い審美性を回復した症例
50歳 女性
- 治療の詳細
- 上前歯の着色改善を目的として、e-maxセラミックを使用したラミネートベニア治療を実施しました。歯質削除を最小限に抑えた低侵襲な治療により、自然な色調と透明感を回復することができました。
- この症例に使用した装置
- ラミネートべニア/セラミックのe-ma/
- 費用総額
- 369,600円(税込)
- 治療回数/通院回数
- 約7ヵ月/約10回
- 治療に伴うリスク・副作用
【ラミネートべニア】
- 破折・脱離:強い力により割れたり外れたりする可能性があります
- 知覚過敏:歯面処理により一時的に冷たいものがしみる可能性があります
- 色調の変化:周囲の歯と完全に同じ色調にならない場合があります
- 歯質の削除:薄くても歯の表面を削る必要があります
- 適応症の制限:歯の状態により適応とならない場合があります
- 咬合調整:咬み合わせの調整が必要になる場合があります
- 費用:保険適用外のため高額な治療費がかかります
全体的に歯並びを矯正(ワイヤー)を用いて改善し、審美性、機能性を改善する症例
29歳 女性
- 治療の詳細
- 空隙歯列に対し、非抜歯による全顎矯正治療を実施しました。前歯部にはホワイトブラケット、臼歯部にはメタルブラケットを使用し、治療完了後に前歯部の形態修正としてコンポジットレジン修復を行いました。
- この症例に使用した装置
- ホワイトブラケット・メタルブラケット
- 費用総額
- 842,600円(税込)
- 治療回数/通院回数
- 約10カ月/約10回
- 治療に伴うリスク・副作用
【矯正治療】
- 疼痛・違和感:装置装着後や調整後に歯の移動に伴う痛みが生じます
- 歯肉退縮:歯の移動により歯茎が下がる可能性があります
- 歯根吸収:歯の根が短くなる可能性があります
- 虫歯・歯周病:装置により清掃が困難になり、虫歯や歯周病のリスクが高まります
- 装置の破損・脱離:矯正装置が破損したり外れたりする可能性があります
- 治療期間の延長:予定より治療期間が長くなる場合があります
- 後戻り:保定装置を適切に使用しないと歯並びが元に戻る可能性があります
【審美CR】
- 経年劣化:時間の経過により変色や劣化が生じる可能性があります
- 脱落・破折:強い力により外れたり割れたりする可能性があります
- 色調の変化:周囲の歯と色調が合わなくなる場合があります
- 知覚過敏:治療後に一時的にしみる可能性があります
- 再治療:劣化により再度治療が必要になる場合があります
- 適応症の制限:欠損の大きさにより適応とならない場合があります
全体的に歯並びを矯正(TAD)を用いて改善し、審美性、機能性を改善する症例
37歳 女性
- 治療の詳細
- 上顎前突に対し、TAD(歯科矯正用アンカースクリュー)を併用した矯正治療を実施しました。矯正治療完了後、上前歯部にe-maxセラミッククラウンによる補綴治療を行い、機能性と審美性の両立を図りました。
- この症例に使用した装置
- インプラント矯正
- 費用総額
- 1,652,200円(税込)
- 治療回数/通院回数
- 約2年10ヶ月/約35回
- 治療に伴うリスク・副作用
【矯正治療】
- 治療計画の変更:治療中の歯の動きにより予定した治療計画を変更する可能性があります
- 不可逆性:矯正前の状態には完全に戻すことはできません
- 疼痛・違和感:装置装着後や調整後に歯の移動に伴う痛みが生じます
- 歯肉退縮:歯の移動により歯茎が下がる可能性があります
- 歯根吸収:歯の根が短くなる可能性があります
- 虫歯・歯周病:装置により清掃が困難になり、虫歯や歯周病のリスクが高まります
- 後戻り:保定装置を適切に使用しないと歯並びが元に戻る可能性があります
【e-maxクラウン】
- 費用:保険適用外のため保険治療よりコストがかかります
- 色調の影響:元の歯に着色汚れがあると透明性により黄ばんで見える場合があります
- 破折・欠け:強い力により割れたり欠けたりする可能性があります
- 脱離:接着力の低下により外れる場合があります
- 知覚過敏:歯を削ることで一時的にしみる場合があります
- 適合不良:歯の形態により適合が困難な場合があります
全体的に歯並びを矯正(ワイヤー)を用いて改善し、審美性、機能性を改善する症例
32歳 女性
- 治療の詳細
- 全顎的な歯列不正に対し、上下左右第一小臼歯の抜歯を行った後、ホワイトブラケット・ホワイトワイヤーを使用した矯正治療を実施しました。
治療により適切な咬合関係が確立され、口唇閉鎖機能とオトガイ部の改善も認められました。
- この症例に使用した装置
- ホワイトブラケット・ホワイトワイヤー
- 費用総額
- 1,061,500円(税込)
- 治療回数/通院回数
- 約2年半/約30回
- 治療に伴うリスク・副作用
【矯正治療】
- 疼痛・違和感:装置装着後や調整後に歯の移動に伴う痛みが生じます
- 歯肉退縮:歯の移動により歯茎が下がる可能性があります
- 歯根吸収:歯の根が短くなる可能性があります
- 虫歯・歯周病:装置により清掃が困難になり、虫歯や歯周病のリスクが高まります
- 装置の破損・脱離:矯正装置が破損したり外れたりする可能性があります
- 治療期間の延長:予定より治療期間が長くなる場合があります
- 後戻り:保定装置を適切に使用しないと歯並びが元に戻る可能性があります
咀嚼機能不全からインプラント治療を行い機能性や審美性を回復した症例
57歳 男性
- 治療の詳細
- 部分床義歯による違和感の改善を目的として、残存歯の保存と同時にインプラント治療を実施しました。
右上・左上の2部位では骨量不足のためソケットリフト(上顎洞底挙上術)を併用してインプラント埋入を行いました。
- この症例に使用した装置
- インプラント・サイナスリフト・ジルコニア
- 費用総額
- 3,465,000円(税込)
- 治療回数/通院回数
- 約1年半/約10回
- 治療に伴うリスク・副作用
【インプラント治療】
- 手術適応の制限:身体の状態により手術に適用できない場合があります
- 感染:手術部位の感染や歯周病菌による感染の可能性があります
- 神経損傷:手術時に神経を損傷し麻痺が生じる可能性があります
- 出血・腫脹:手術後に出血や腫れが生じることがあります
- インプラント周囲炎:メンテナンス不良により炎症が生じる可能性があります
- 脱落:骨結合が不十分な場合、インプラントが脱落する可能性があります
【サイナスリフト】
- 上顎洞炎:術後感染により上顎洞炎を発症するリスクがあります
- 治療期間の延長:骨の造成に時間を要するため治療期間が長くなりやすくなります
- 上顎洞膜の穿孔:手術時に上顎洞膜に穴が開く可能性があります
- 出血・腫脹:手術後に出血や腫れが生じることがあります
- 感染:手術部位の感染リスクがあります
- 移植材料の脱落:骨補填材が上顎洞内に落下する可能性があります
