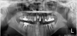
【右上1番、左上2番】インプラント1本埋入、GBR
スタッフブログ
2015.09.07
こんにちは。受付のS.Kです。
先日、杉村先生によるオペが行われました。
}C](http://harada-shika.jp/blog/wp-content/uploads/2015/09/11085-20150903000C-300x143.jpg)
インプラント埋入とGBRでした。
GBRとは骨再生誘導法になります。
骨を移植して密度を増やし、インプラントを埋入します。
時間は通常にインプラントの時のみよりはかかりますが、予定通りスムーズに行われました。
本日、消毒を兼ねていらして頂いていましたが、術後も良好で患者様もお痛みはほとんどないそうです。
最近、特にインプラントをご希望される方が多い気がします。
やはりご自分の歯に一番近い形なので選ばれる理由もわかります♪
そうならないためにも、普段のセルフケア、プロケアを行なって頂くのが一番ですが(笑)
口腔内の状態によっては今回のように骨の移植等も必要になってきます。
時間がかかることもありますので、気になる方はぜひお早めにご相談ください!

