右上2番 1次オペ
クリニックブログ
2019.09.14
こんばんは、スタッフの志賀です:)
本日は右上2番インプラント1次オペでした。

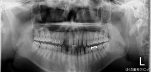
こちらはインプラントを埋入する前のレントゲンの写真です。
写真は左右反転しているので反転させてご覧ください!
スペースが空いている前歯の箇所にインプラントを埋入していきます。

こちらがオペの様子です。
本日の患者様は初めてのインプラントオペでしたが落ち着いて受けていただけました。

そしてこちらが術後のレントゲン写真です。
写真でも分かるように前歯のスペースにしっかりと埋入できました◎
インプラント興味あるけど怖い・・・などある方もいらっしゃると思います。
当院ではしっかりと説明させていただき処置をさせていただきます。
歯のお悩みがある方お気軽に当院までお問い合わせください☆

