左上5 インプラント一次オペ
クリニックブログ
2019.09.13
こんにちわ!スタッフの高橋です!
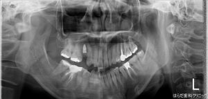
本日1件の一次オペが行われました。

患者様も緊張した様子もなく落ち着いてオペを受けて頂けました!!

右上5番目の歯茎にインプラントを埋入しました☆
当院ではインプラントのオペが頻繁に行われています。インプラントに少しでも興味のある方は是非一度当院にご相談下さいね!
クリニックブログ
2019.09.13
こんにちわ!スタッフの高橋です!
本日1件の一次オペが行われました。

患者様も緊張した様子もなく落ち着いてオペを受けて頂けました!!

右上5番目の歯茎にインプラントを埋入しました☆
当院ではインプラントのオペが頻繁に行われています。インプラントに少しでも興味のある方は是非一度当院にご相談下さいね!
