右下6番インプラント1次オペ、右上6番、7番インプラント1次オペ
クリニックブログ
2019.08.01
こんにちは。スタッフの和田です。
本日2件のインプラント1次オペが行われました。
オペの様子です。
1件目の方は過去にも当院でインプラント治療を行ったことのある方でした。
オペの様子です。

最後にレントゲンを撮影して確認します。

右下(画像では左下)にしっかりとインプラント体が埋入されております。
2件目のオペは右上の奥歯にインプラントを2本埋入しました。
オペの様子です。

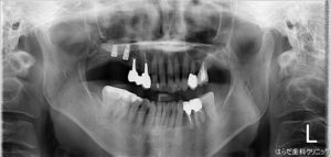
こちらもレントゲンをとって確認します。

こちらもしっかりと埋入されています。
治療完了までが待ち遠しいですね(*^^*)
インプラント治療をご検討の方はぜひ当院までご相談ください(^^)

