右上1番と5番、左上2番のインプラント1次埋入オペ
クリニックブログ
2024.07.20
こんにちは、スタッフの上田です。
本日は右上1番と5番、左上2番のインプラント1次埋入オペが行われました。
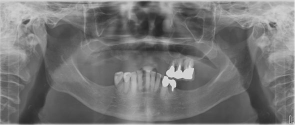
こちらはインプラントを埋入する前のレントゲンのお写真です。
写真は左右反転して見て下さい!

こちらの方は久しぶりのインプラント埋入オペでしたが、落ち着いたご様子で受けられていました。
最初のご来院時に入れ歯の作り替えを希望されていたので、インプラント義歯を含めた提案をさせて頂き、お見積りをお渡ししてご相談しました。
当院では、患者様に合った治療プランをご提示させて頂き、しっかりとカウンセリング・ご相談をしたうえで治療を進めさせていただきます!
歯の事でお悩みのある方は是非一度当院にご相談下さい。
お待ちしております!

