左下7番インプラン1次オペ・左上6・7番インプラント1次オペ
クリニックブログ
2023.06.09
こんにちは、スタッフの渡辺です。
本日インプラント1次オペが2件行われました。
1件目のオペの様子です。

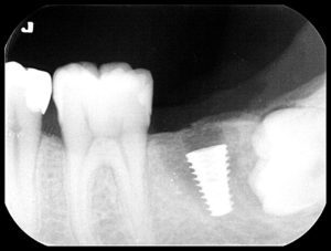
こちらの方は左下7番にインプラントを入れました。
こちらは部分的なレントゲン写真です。

この様に位置を確認しながら行います。

こちらが入れる前と入れた後になります。
しっかりとインプラント体が埋入されてます。
こちらは2件目のオペの様子です。

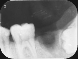
こちらの方は左上6・7番にインプラントを入れました。
インプラントは以前されたこともおあり落ち着いて受けてもらえました。

こちらも部分的なレントゲン写真を撮って位置の確認をします。
位置が確認出来たらインプラント体を埋入します。
この後は、数ヶ月骨にインプラント体が定着するのを待ち、次の段階(2次オペ)に進んでいきます。
インプラントを入れることで、奥歯でしっかり噛むことができ、お食事も楽しくなります。
当院ではインプラント以外に、患者様一人ひとりに合わせた治療も行っております🦷
ご自身の歯にお悩みがある方は是非当院までお越しください。お待ちしております。

