左上5番1次オペ、右下5番1次オペ

スタッフブログ

2018.01.20

こんにちは。スタッフの和田です。

本日2件のインプラント1次オペが行われました。

SONY DSC

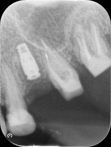
1件目のオペの様子です。

途中でレントゲンを撮って方向などをしっかり確認しながら進めて行きます。

最後にもう一度確認します。しっかりと埋入されております。

 

 

2件目の様子です。

SONY DSC

こちらの患者様は、過去に何度かインプラント手術を経験されている方でしたので、落ち着いた様子でオペを受けて頂けたようでした。

 

インプラントのオペって何時間も口を開けていて、そのうえすごく大変そう!!

と思われている方も多いと思いますが、元々の骨の量がしっかりされてる方ですと、1~2本ですと麻酔などをする時間もあわせて1時間ほどで終了するケースが多く、そのうちインプラント本体を埋め込む時間は15分ほどで終了するケースが多いですよ(^^♪

患者様への負担をできる限り少なくできるように心がけております。

 

インプラント治療をご検討の方は是非一度当院にご相談ください。