矯正はじめました。
スタッフ矯正ほか治療ブログ
2016.06.08
こんばんは。受付のS.Kです。
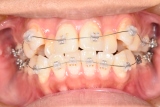
昨日、入社当初より希望していた「矯正」をはじめました☆

八重歯があるので、劇的に変化すると思っています(^^)
虫歯や器具が外れないよう気をつけて楽しく矯正を進めていきたいです♪
スタッフ矯正ほか治療ブログ
2016.06.08
こんばんは。受付のS.Kです。
昨日、入社当初より希望していた「矯正」をはじめました☆

八重歯があるので、劇的に変化すると思っています(^^)
虫歯や器具が外れないよう気をつけて楽しく矯正を進めていきたいです♪
