右上5番、6番、7番インプラント1次オペ、ソケットリフト
クリニックブログ
2023.09.26
こんにちは、スタッフの鈴木です。
本日、右上5番、6番、7番インプラント埋入オペ、ソケットリフトが一件ありました。
こちらがオペの様子です。

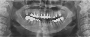
下の写真はインプラントを埋入する前のパノラマ写真です。
写真は左右反転して見て下さい。

インプラント治療とは、顎の骨に穴を開けてインプラント(人工歯根)を入れ、冠を被せて元の歯の状態のようにする治療法です。
インプラントによって顎の骨に支えられた歯が増えるため、残っている歯に負担がかからずに済みます。
当院では、患者様に合ったプランをご提示させて頂きしっかりとカウンセリングをしたうえで治療を進めさせていただきます!
歯の事でお悩みのある方は是非一度当院にご相談下さい。
お待ちしております!

