左上2番、4番インプラント一次埋入オペ
クリニックブログ
2023.09.20
こんにちは、スタッフの古川です(^^)
昨日は左上2番、4番インプラント一次埋入オペがありました。
こちらは昨日のオペの様子です。
初めてインプラント治療を受ける患者様でしたが、最後まで落ち着いた様子でした!

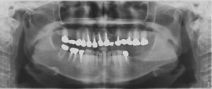
下の写真はインプラントを埋入する前のパノラマ写真です。
写真は左右反転して見て下さい!

こちらの患者様は左上2番のBrが入っていた所と、左上4番のBrの所を外してインプラントを埋入しています。
左上4番のBrの所は今まで両隣の歯が支台歯になっていたので負担がかかっていましたが、この負担を無くす為にインプラントを埋入しました。
インプラントが埋入されたことによって今後は、両隣の歯への負担が無くなります!
どちらの歯も笑った時に見える位置にある歯なので、インプラントをご選択された理由としては、審美的にもよく、入れ歯と違い着脱の煩わしがない点が決め手となりました。
インプラント治療は、むし歯や歯周病、ケガなどで歯を失ってしまった場合、歯を失った部分のあごの骨にチタンでできたネジ(人工歯根)を埋入し、そのネジの上に歯を作るという一般歯科と口腔外科を総合した治療のことです。
インプラントを埋入される理由は患者様によって様々です。患者様に合った治療プランを一緒に考えられたらと思いますので、
気になる方は是非一度、ご相談にいらして下さい!

